The initial shock of a collision often masks the true extent of the injury. When a vehicle stops suddenly, the inertial forces violently whip the head back and forth, stretching and tearing the ligaments, muscles, and soft tissues in your neck - this is the hidden injury known as whiplash.

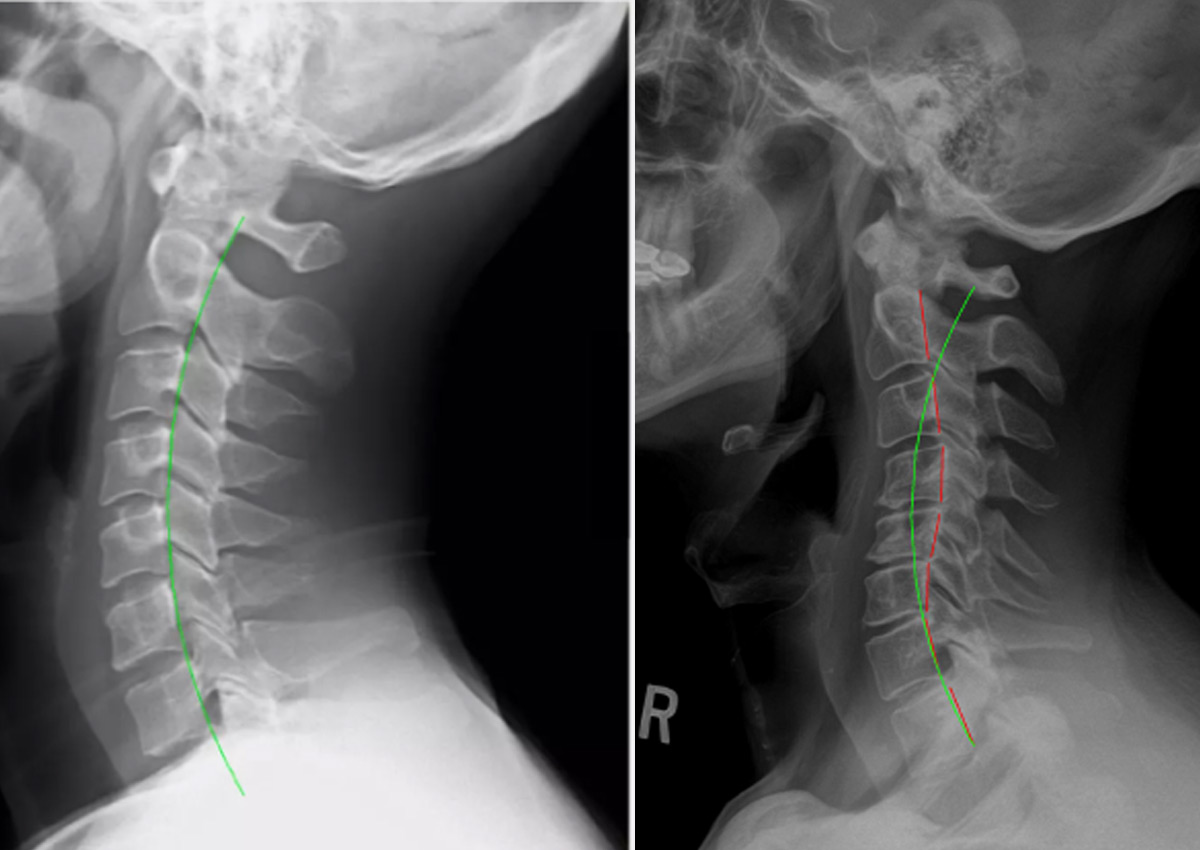
This trauma doesn't just cause acute pain; it frequently results in Structural Ligamentous Instability (SLI) and causes the cervical vertebrae to shift out of alignment. If left untreated, whiplash creates scar tissue, chronic stiffness, severe headaches, and long-term degeneration.
At Limitless Chiropractic, we are experts in the forensic biomechanics of auto injuries. We use precise diagnostic testing to uncover the true extent of the soft tissue damage and implement a specialized, corrective treatment plan designed to stabilize the cervical spine, restore motion, and prevent the short-term injury from becoming a lifetime of chronic pain.
The immediate aftermath of an accident may involve symptoms like debilitating stiffness, upper back aching (linked to neck and shoulder pain ), or radiating numbness down the arms. What often complicates care is that these injuries—even from low-speed impacts may not show up on routine X-rays and can take days or weeks to fully manifest. Our approach immediately focuses on nerve integrity and spinal alignment. We gently and incrementally restore the natural curve of the neck, release pressure on the compressed nerves, and ensure the delicate connection between your spine and brain remains clear. We understand the specific patterns of injury caused by seatbelts and steering wheels, ensuring your entire back and pelvis (back pain and sciatica) are assessed for subluxations that often compound the initial whiplash injury.


















.png)


.png)
.png)
