Every minute you spend sitting, staring at a screen, or standing unbalanced, you are fighting gravity with a faulty structure. This chronic strain—known clinically as Forward Head Posture (FHP) or hyperkyphosis is the number one culprit behind daily pain and premature aging of the spine. For every inch your head shifts forward, the mechanical stress on your lower neck increases by 10 pounds or more. This misalignment doesn't just make you look older; it flattens the protective curves of your spine and creates the fertile ground for disc injuries, chronic pain, and nerve damage.
At Limitless Chiropractic, we treat posture as a serious structural problem. We utilize corrective chiropractic techniques to restore the vital curves in your cervical and lumbar spine, effectively resetting your body’s foundation and reversing the gravitational stress that is breaking you down.
The symptoms of poor posture extend far beyond a slumped appearance. They include persistent aching between the shoulder blades, numbness in the hands, fatigue, and even digestive issues, all stemming from chronic neurological interference. The underlying cause is not a lack of willpower, but years of repetitive microtrauma - from working at a desk in to driving in traffic.
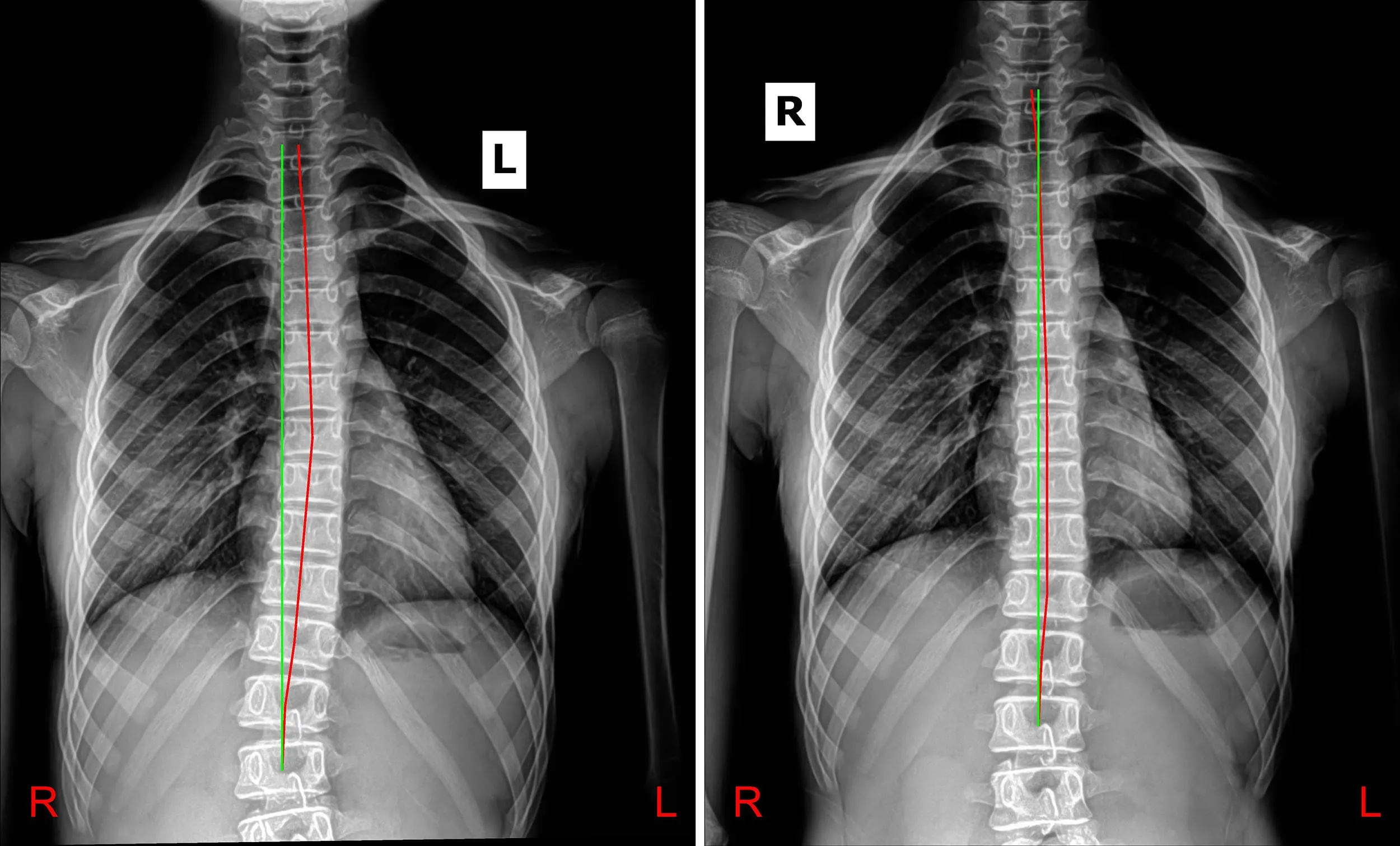
Our corrective process begins with precise postural analysis and spinal imaging to identify the degree of curve loss and the exact segmental misalignments. We then implement a customized protocol of Specific Adjustments and Rehabilitation Exercises to shift the bones, ligaments, and deep stabilizing muscles. This is the only way to achieve true, lasting postural correction and stop the cycle of degeneration.


















.png)


.png)
.png)
